HER2-neu Score 2, FISH Negative: What It Means For You

M.Maidsafe 116 views
HER2-neu Score 2, FISH Negative: What It Means For You

HER2-neu Score 2, FISH Negative: What It Means for You

Alright, guys, let’s talk about something that can feel super complicated and a little scary when you’re first navigating a breast cancer diagnosis: HER2-neu score 2, FISH negative . If you’ve just received this result, or you’re trying to understand what it means for a loved one, you’re probably feeling a whirlwind of emotions and a ton of questions. And that’s totally normal! Understanding your HER2 status is absolutely crucial because it directly impacts the treatment path your medical team will recommend. Think of it like a detective story, where each test brings us closer to the full picture. HER2, or Human Epidermal growth factor Receptor 2, is a protein found on the surface of all breast cells. It’s like an antenna that receives signals telling the cells to grow and divide. In some breast cancers, there are too many of these HER2 receptors, which means the cells get too many growth signals, leading to faster and more aggressive cancer growth. This is what we call HER2-positive breast cancer , and thankfully, we have amazing targeted therapies specifically designed to block these receptors. But what about when your results aren’t a clear-cut ‘positive’ or ‘negative’? That’s where the HER2-neu score 2, FISH negative result comes in. It’s often referred to as an equivocal or borderline result, and it requires a deeper dive to truly understand what’s happening with those cancer cells. It’s a journey into the nuances of cancer diagnostics, and it’s essential to grasp why this specific combination of results means what it does for your personalized treatment plan. Don’t worry, we’re going to break it all down in a friendly, easy-to-understand way, so by the end of this, you’ll feel much more confident about what this diagnosis entails. Getting this specific result can often feel like being stuck in limbo, but it’s really just a sign that your doctors are being extra thorough, making sure they don’t miss any critical information that could impact your care. So, let’s dive in and demystify this important aspect of breast cancer diagnosis together. We’ll explore what HER2-neu really is, how these tests work, and most importantly, what this specific set of results means for your journey ahead, giving you peace of mind and clarity.

Decoding HER2-neu: The Basics You Need to Know

First off, let’s get down to the absolute basics: What exactly is HER2-neu? Guys, think of HER2-neu (which you’ll often see shortened to just HER2) as a special protein, almost like a little antenna, living on the surface of our cells. Its job is super important because it helps cells grow, divide, and repair themselves. It’s a completely normal and necessary part of our bodies! However, sometimes, especially in certain types of breast cancer, something goes a little wonky. Instead of having a normal amount of these HER2 antennas, cancer cells can have way too many of them. Imagine a normal cell having a few antennas to catch signals, but then a cancer cell suddenly has hundreds or even thousands of them! This excessive amount means the cancer cells are getting constant, amplified signals to grow and multiply, which can make the cancer more aggressive and faster-spreading. This overabundance is what we call HER2 gene amplification or HER2 protein overexpression . The discovery of HER2 and its role in cancer was a game-changer in oncology, profoundly impacting how we diagnose and treat breast cancer. Before we understood HER2, breast cancer treatment was a bit more of a one-size-fits-all approach, mainly relying on chemotherapy, surgery, and radiation. But with the knowledge that some tumors are driven by this specific protein, doctors could start developing targeted therapies that specifically aim to block these HER2 receptors, effectively turning off those growth signals. This shift introduced a whole new era of personalized medicine, allowing us to tailor treatments much more precisely to the individual characteristics of each tumor. It’s pretty amazing when you think about it! Understanding whether a tumor is HER2-positive, HER2-negative, or in that tricky equivocal zone is one of the foundational pieces of information your oncology team will use to map out the most effective strategy for you. It’s not just about knowing what HER2 is, but why it matters so much in the grand scheme of things, influencing everything from your prognosis to the specific drugs you might receive. Getting a handle on these fundamentals truly empowers you to participate more actively in discussions about your treatment, ensuring you’re an informed partner in your own care. So, while it sounds technical, remember it’s all about understanding your body and your cancer better to fight it more effectively. This critical protein’s status truly dictates a significant part of your therapeutic journey, highlighting why the subsequent tests we’re discussing are so vital.

Why is HER2 Testing Crucial?

So, why do doctors put such a huge emphasis on HER2 testing? Well, folks, it’s not just a fancy medical term; it’s a critical piece of the puzzle that dictates a significant part of your breast cancer treatment strategy and even gives us a glimpse into the potential prognosis. For tumors that are definitively HER2-positive (meaning they have that excessive number of HER2 receptors), we have a whole arsenal of incredibly effective targeted therapies . These aren’t your general, broad-spectrum chemotherapies; instead, drugs like trastuzumab (Herceptin), pertuzumab (Perjeta), and ado-trastuzumab emtansine (Kadcyla) are specifically designed to home in on those HER2 proteins and shut down their growth signals. Think of it like a precision missile strike directly at the cancer cells, leaving healthier cells relatively untouched compared to traditional chemo. This approach has absolutely revolutionized outcomes for patients with HER2-positive breast cancer, transforming what was once considered a more aggressive subtype into one that often responds very well to these tailored treatments. On the flip side, if your tumor is HER2-negative , these specific targeted therapies won’t be effective because there aren’t enough HER2 targets for the drugs to hit. In these cases, doctors will focus on other treatment modalities, which might include hormone therapy (if your tumor is also hormone receptor-positive), standard chemotherapy, radiation, or surgery. So, you see, the result of your HER2 test isn’t just a label; it’s a roadmap for your treatment plan . It helps your medical team decide which medications are most likely to work best for your specific cancer , maximizing your chances of a positive outcome while minimizing unnecessary treatments and their associated side effects. Without this crucial information, oncologists would essentially be flying blind, and that’s not something anyone wants when fighting cancer. It’s about personalizing your battle plan to give you the absolute best shot. This is why when you get an equivocal result like a HER2-neu score 2, it triggers further investigation. They don’t want to miss an opportunity to use a highly effective targeted therapy, nor do they want to put you through the side effects of a drug that won’t benefit you. It truly underlines the importance of accurate and thorough diagnostic testing in modern oncology, ensuring every patient receives the most appropriate and effective care tailored just for them. It’s all about precision, guys, and making every step of your treatment count. This vital information guides decisions that can profoundly influence your chances of recovery and quality of life post-diagnosis.

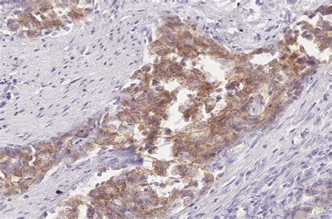
Understanding Your HER2-neu Score 2 Result (IHC)

Okay, so now that we know what HER2 is and why it’s so important, let’s dive into how doctors actually test for it, focusing on that initial HER2-neu score 2 result you might have received. The first line of testing for HER2 status is typically done through a method called Immunohistochemistry (IHC) . Guys, this is a pretty standard and widely used test, and it’s usually performed on a small piece of tissue taken during a biopsy or surgery. Essentially, what happens is a pathologist—a doctor who specializes in looking at tissues under a microscope—will treat your tissue sample with special antibodies. These antibodies are designed to stick specifically to the HER2 proteins on the surface of the cancer cells. When they stick, they produce a visible color change, which the pathologist can then see. The intensity and completeness of this staining are what give us the IHC score. It’s like a visual gauge of how many HER2 antennas are present on those cells. The scoring system is fairly straightforward, ranging from 0 to 3+: A score of 0 or 1+ means there’s very little to no HER2 protein on the cells; these tumors are considered HER2-negative . A score of 3+ is the opposite end of the spectrum, indicating a very high level of HER2 protein, meaning the tumor is definitively HER2-positive . These clear-cut results make treatment decisions much simpler. However, then there’s that middle ground: the HER2-neu score of 2+ . This is what we call an equivocal result. It means the staining was present, but it wasn’t quite strong enough or widespread enough to be definitively called 3+ positive, nor was it weak enough to be considered 0 or 1+ negative. It’s like being in a gray area, where there might be overexpression, but the IHC test alone can’t give a definitive answer. This is a super important point because a 2+ score doesn’t automatically mean you’re HER2-positive and will receive targeted therapy. Instead, it signals to your medical team that more testing is needed to clarify the situation. This equivocal status is the reason why a second, more precise test is required, ensuring that no stone is left unturned in accurately characterizing your tumor. It might feel like a delay or an added complication, but trust me, it’s a necessary step to ensure you get the most accurate diagnosis and, therefore, the most effective treatment. Pathologists are highly trained to interpret these nuances, but even their expert eyes need confirmation when results fall into this indeterminate range. So, when you see that 2+ on your IHC report, know that it’s just the first chapter in your diagnostic story, not the final word. It’s a prompt for more in-depth investigation to truly understand what’s happening at the genetic level, which is where the FISH test comes into play.

The “Equivocal” Zone: What Does HER2 Score 2 Mean?

Alright, let’s really dig into this HER2 score 2+ situation, because it’s probably the most confusing part for many of you, and it’s absolutely key to understanding your