Pseudopalisading: Understanding This Unusual Skin Condition

M.Maidsafe 16 views
Pseudopalisading: Understanding This Unusual Skin Condition

Pseudopalisading: Understanding This Unusual Skin Condition

Hey everyone! Today, we’re diving deep into a rather unusual medical term you might have stumbled upon: pseudopalisading . It sounds pretty sci-fi, right? But don’t worry, guys, it’s actually a descriptive term used in pathology to describe a specific pattern seen under a microscope. It’s not a disease in itself, but rather a characteristic feature that can be associated with various conditions, most notably certain types of tumors. So, let’s break down what pseudopalisading means, why it’s important, and what conditions it might point towards. Understanding these microscopic patterns is crucial for accurate diagnosis and effective treatment planning. We’ll explore the visual aspects, the underlying cellular mechanisms, and the clinical significance. Get ready to learn about the fascinating world of microscopic anatomy and its role in diagnosing some serious health issues. It’s a complex topic, but we’ll do our best to make it super clear and easy to grasp, even if you’re not a medical whiz. We’ll be using analogies and simple language to explain the intricate details, so stick around!

What Exactly IS Pseudopalisading?

Alright, let’s get down to brass tacks. Pseudopalisading literally means “false palisading.” Now, what’s “palisading” in the first place? Think of a picket fence. Palisading refers to cells that are arranged in a neat, orderly row, like those fence pickets standing side-by-side. In pathology, when we talk about palisading cells, we’re referring to a specific arrangement of cells, often the nuclei of those cells, that appear aligned in a linear fashion, typically around areas of necrosis (dead tissue). Now, the “pseudo” part comes in because in pseudopalisading, this arrangement is not as perfectly organized as true palisading. Instead, the cells look like they’re trying to form a picket fence, but it’s a bit messy, maybe a bit haphazard, with cells overlapping or not quite in line. They cluster around areas of necrosis in a somewhat linear, but often irregular, fashion. Imagine a crowd of people trying to form a perfect line, but some are a step ahead, some are lagging behind, and a few are even looking the wrong way – that’s a bit like pseudopalisading. This pattern is observed when pathologists examine tissue samples under a microscope. It’s a microscopic observation, so you won’t see it with the naked eye on the skin or anywhere else. The presence of pseudopalisading is a significant clue because it often suggests that the cells in the surrounding tissue are under stress, perhaps due to the lack of oxygen or nutrients in the necrotic areas, and they’re reacting in a specific way. It’s this reaction pattern that pathologists look for to help differentiate between benign (non-cancerous) and malignant (cancerous) conditions, and even to subtype certain cancers. It’s a subtle but critical detail in the complex puzzle of diagnosing diseases. The appearance is quite distinctive once you know what you’re looking for, and it strongly influences the subsequent diagnostic and treatment pathways for patients. So, while it’s a microscopic phenomenon, its implications are very real and very macroscopic in terms of patient care and outcomes. It’s a testament to how much information can be hidden within the tiny details of cellular structure and arrangement.

Why is Pseudopalisading Important in Diagnosis?

So, why should we care about this funny-sounding term, pseudopalisading ? Well, this microscopic pattern is a big deal in pathology because it’s a strong indicator, a red flag , if you will, for certain serious medical conditions. The most significant association is with malignant tumors, particularly glioblastoma multiforme (GBM) , which is a very aggressive type of brain cancer. In GBM, the tumor cells often grow rapidly, outstripping their blood supply in some areas, leading to necrosis. The tumor cells surrounding these dead zones then arrange themselves in that characteristic pseudopalisading pattern. It’s like they’re desperately trying to survive by congregating around the dying tissue, perhaps seeking some residual nutrients or signaling molecules. This pattern isn’t exclusive to GBM, though. It can be seen in other high-grade gliomas and even in some metastatic cancers (cancers that have spread from elsewhere in the body to the brain). It can also, less commonly, be found in some non-cancerous conditions, but its presence in a tissue sample significantly increases the suspicion for malignancy. Pathologists don’t just look at the overall picture; they meticulously examine the arrangement of cells. The presence or absence of pseudopalisading, along with other microscopic features, helps them determine the grade of a tumor (how aggressive it is likely to be) and its specific type. This, in turn, guides the treatment plan. For example, a diagnosis involving pseudopalisading in a brain tumor context often necessitates aggressive treatment strategies, including surgery, radiation, and chemotherapy. The accuracy of identifying this pattern is therefore paramount for patient prognosis and management. It’s a critical piece of the diagnostic puzzle that allows clinicians to make informed decisions and offer the best possible care. Without this detailed microscopic analysis, doctors might miss crucial indicators of disease aggressiveness, potentially leading to delayed or inappropriate treatment. This underscores the vital role of pathologists and the sophisticated tools they use to interpret the complex language of cells. It’s a microscopic detail with macroscopic consequences, truly highlighting the power of detailed observation in medicine.

Conditions Associated with Pseudopalisading

As we’ve touched upon, pseudopalisading isn’t a disease itself, but a sign . And like any good signpost, it points us in certain directions. While its presence is a strong indicator of potentially serious conditions, it’s essential to remember that it can appear in a few different scenarios. Let’s explore the main ones, guys:

Malignant Tumors

  • Glioblastoma Multiforme (GBM): This is the big one, the condition most frequently linked to pseudopalisading. As mentioned, GBM is an aggressive primary brain tumor. The tumor cells proliferate so rapidly that parts of the tumor die off (necrosis). The surviving tumor cells then cluster around these necrotic areas in a characteristic pseudopalisading pattern. This isn’t just a random arrangement; it’s thought to be a response to growth factors released from the dying cells, stimulating the surrounding cells to proliferate and migrate. It’s a hallmark feature that pathologists look for when diagnosing GBM, helping to distinguish it from less aggressive brain tumors.

  • Other High-Grade Gliomas: Beyond GBM, other aggressive gliomas (tumors originating from glial cells in the brain) can also exhibit pseudopalisading. This includes anaplastic astrocytomas and anaplastic oligodendrogliomas. The presence of pseudopalisading generally indicates a higher grade and more aggressive behavior.

  • Metastatic Tumors: Cancers that start elsewhere in the body and spread to the brain (metastases) can sometimes present with pseudopalisading. For example, carcinomas (cancers of glandular or epithelial cells) that have spread to the brain may show this pattern around areas of necrosis within the metastatic deposit. This is important because it can help pathologists identify the origin of the cancer if it’s not immediately obvious.

Non-Malignant Conditions (Less Common)

While less frequent, it’s worth noting that pseudopalisading can sometimes be observed in non-cancerous conditions. These are typically situations where there is significant tissue damage and inflammation:

  • Infarcts: Areas of tissue damage due to lack of blood supply, such as in a stroke, can sometimes show cellular changes that mimic pseudopalisading. The reactive cells around the damaged area might arrange in a somewhat linear fashion.

  • Abscesses: These are collections of pus, typically caused by bacterial infection. The inflammatory response around an abscess can lead to cellular arrangements that might be confused with pseudopalisading.

  • Post-Radiation Changes: After radiation therapy, tissue can undergo changes, including necrosis, and the reactive cells might display patterns that resemble pseudopalisading.

It’s crucial to emphasize that even when seen in these benign conditions, the appearance might prompt a pathologist to carefully consider and rule out malignancy. The context provided by the patient’s clinical history and other findings on the tissue sample is vital. Therefore, while pseudopalisading is strongly associated with cancer, especially brain tumors, it’s the combination of this microscopic pattern with other histological features and clinical information that leads to a definitive diagnosis. It’s this detailed, multi-faceted approach that ensures the most accurate diagnosis for patients.

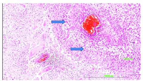
The Microscopic View: What Does it Look Like?

Let’s zoom in, guys, and talk about what pseudopalisading actually looks like under the microscope. It’s all about the arrangement of cell nuclei, which are the control centers of the cells. Imagine you have a patch of dead or dying tissue right in the middle of your sample – that’s the area of necrosis. Now, surrounding this necrotic core, you’ll see a layer of living cells. In pseudopalisading, these living cells, or more specifically, their nuclei, form a somewhat linear, row-like pattern. But here’s the kicker: it’s not a perfectly straight, neat row like a picket fence. Instead, the nuclei are often elongated and crowded together, appearing aligned on one side of the necrotic area. They might look like they’re pushing towards the dead tissue, trying to get closer to it for some reason, or perhaps trying to wall it off. The key feature that differentiates it from true palisading (which is less common and often seen in benign conditions like schwannomas) is the irregularity and the presence of intervening cells or blood vessels . In true palisading, the cells are more uniformly spaced and orderly. In pseudopalisading, you might see gaps, overlapping cells, or a more haphazard arrangement. The nuclei themselves might also appear pleomorphic, meaning they vary in size and shape, which is often a sign of malignancy. Some might be dark and smudged, while others are larger and more irregularly shaped. The cells are often described as ‘spindled’ or ‘elongated’ as they orient themselves. Pathologists use special stains and high-powered microscopes to meticulously examine these patterns. They’re looking for this specific arrangement around foci of necrosis . It’s not just a few cells in a line; it’s a more extensive pattern. The presence of microvascular proliferation (new, small blood vessels forming) is often seen alongside pseudopalisading in aggressive tumors like GBM. This intricate dance of cells – the dying tissue, the reactive surrounding cells forming a messy line, and the often-associated abnormal blood vessels – creates a distinct microscopic picture. It’s this complex visual signature that provides invaluable diagnostic information, guiding the pathologist in making a crucial determination about the nature of the tissue.

Conclusion: A Key Microscopic Clue

So, there you have it, folks! Pseudopalisading is a fascinating, albeit somewhat unsettling, term that holds significant weight in the world of pathology. It’s not a standalone diagnosis but rather a critical microscopic finding that often points towards serious conditions, most notably aggressive brain tumors like glioblastoma multiforme. Remember, it’s characterized by the somewhat orderly, but irregular, alignment of cell nuclei around areas of tissue death (necrosis). This pattern isn’t just an interesting visual artifact; it’s a cellular response that provides vital clues to the nature and aggressiveness of a disease. While it’s most famously associated with malignant neoplasms, it’s important for pathologists to consider the broader differential diagnosis, including less common non-malignant conditions, and to integrate this finding with all other available clinical and histological information. The precise identification of pseudopalisading is paramount, as it directly influences treatment strategies and patient prognosis. It’s a perfect example of how microscopic details can have profound macroscopic implications for human health. So, the next time you hear the term, you’ll know it’s a serious signpost in the diagnostic journey, highlighting the incredible precision and importance of microscopic examination in modern medicine. It truly shows how much we can learn from looking very, very closely at the building blocks of life.