Transverse Myelitis MRI: What You Need To Know

M.Maidsafe 143 views
Transverse Myelitis MRI: What You Need To Know

Transverse Myelitis MRI: What You Need to Know

Hey everyone! Today, we’re diving deep into a topic that might sound a bit scary but is super important to understand: Transverse Myelitis MRI . If you or someone you know is dealing with symptoms that could point towards this condition, knowing what an MRI can reveal is key. We’re going to break down exactly what happens during an MRI for transverse myelitis, what the images show, and why it’s such a crucial diagnostic tool for doctors. Think of this as your friendly guide to understanding the complex world of spinal cord imaging when transverse myelitis is suspected. We’ll make sure to cover all the bases, so stick around!

Understanding Transverse Myelitis and Its Symptoms

First off, what exactly is transverse myelitis ? Guys, it’s an inflammatory condition that affects the spinal cord. Basically, it’s when your immune system mistakenly attacks your spinal cord, causing inflammation. This inflammation can damage myelin, which is that protective sheath around nerve fibers. When myelin gets damaged, nerve signals can get interrupted, leading to a whole host of nasty symptoms. These symptoms can pop up pretty suddenly, sometimes within hours or days. We’re talking about weakness in your legs, numbness or tingling sensations, pain (often severe), and problems with bladder or bowel control. In some cases, paralysis can occur. The thing about transverse myelitis is that it can be caused by a bunch of different things – infections, autoimmune disorders, or it can even be idiopathic, meaning we don’t know the exact cause. Because the symptoms can overlap with other serious neurological conditions, getting an accurate diagnosis is absolutely critical. This is where our main man, the MRI, comes into play. It’s the superhero of spinal imaging, helping doctors see what’s going on inside that complex network of nerves.

How an MRI Works for Spinal Cord Issues

So, let’s chat about the star of the show: the MRI machine . Magnetic Resonance Imaging, or MRI, is a non-invasive imaging technique that uses powerful magnets and radio waves to create detailed images of your internal body structures. For the spine and spinal cord, it’s like having X-ray vision, but way better and without the radiation! When you go in for an MRI of your spine, you’ll lie down on a table that slides into a large, tube-shaped machine. It can be a bit noisy – think lots of banging and whirring sounds – so you’ll usually be given earplugs or headphones. It’s super important to stay as still as possible during the scan, as any movement can blur the images. The MRI works by aligning the protons in your body’s water molecules using a strong magnetic field. Then, radio waves are pulsed, knocking these protons out of alignment. When the radio waves are turned off, the protons realign, releasing signals that are detected by the MRI scanner. Different tissues in your body have different water content and respond differently to these magnetic fields and radio waves, which allows the machine to create incredibly detailed cross-sectional images. For suspected transverse myelitis , the MRI will focus specifically on the spinal cord, capturing high-resolution pictures that can reveal subtle changes indicative of inflammation or damage. Sometimes, a contrast dye (gadolinium) is injected into a vein before or during the scan. This dye helps to highlight areas of inflammation or certain types of tissue abnormalities that might not be visible on a standard MRI, making it an even more powerful diagnostic tool.

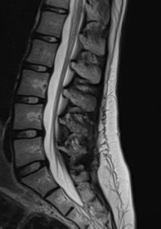
What Transverse Myelitis Looks Like on an MRI Scan

Alright, let’s get down to business and talk about what doctors are actually looking for when they examine a transverse myelitis MRI . The primary goal is to spot inflammation or swelling within the spinal cord. In a healthy spinal cord, the MRI typically shows a uniform, gray appearance. However, when transverse myelitis is present, there are specific signs that pop up. The most common finding is an abnormal signal intensity within the spinal cord on what are called T2-weighted images. Basically, areas of inflammation and swelling tend to appear brighter or ‘hyperintense’ on these images compared to the normal spinal cord tissue. This brightness is indicative of increased water content in the inflamed area. Doctors will also look for the lesion , which is the specific area of damage. This lesion is often described as a linear or patchy area of increased signal intensity. The length and location of this lesion are super important. Transverse myelitis typically affects a specific segment or segments of the spinal cord, meaning the inflammation is usually confined to one or a few contiguous levels. The lesion might span one to three vertebral segments. The radiologists will meticulously measure its size and note its exact position – for instance, whether it’s in the cervical (neck), thoracic (mid-back), or lumbar (lower back) region of the spine. Furthermore, they’ll observe if the inflammation affects the entire cross-section of the spinal cord (which is characteristic of transverse myelitis) or just a portion. Another crucial observation is whether the inflammation extends over multiple segments or is isolated. In some cases, especially if contrast dye is used, the lesion might enhance , meaning it lights up brightly after the contrast is administered. This enhancement pattern can provide further clues about the nature of the inflammation. It’s important to remember that an MRI can also help rule out other conditions that mimic transverse myelitis, such as spinal cord compression from a tumor or herniated disc, bleeding, or other demyelinating diseases like multiple sclerosis. So, the transverse myelitis MRI is not just about finding the inflammation; it’s about painting a comprehensive picture of what’s happening in the spinal cord.

The Diagnostic Process: More Than Just an MRI

While the transverse myelitis MRI is a cornerstone of diagnosis, it’s rarely the only piece of the puzzle, guys. Doctors have to be detectives, and they use a whole range of tools to figure out what’s going on. They’ll start with a detailed medical history, asking about your symptoms, how they started, and if you have any other health conditions. A thorough neurological examination is next. This involves checking your reflexes, muscle strength, coordination, sensation, and balance. These tests help pinpoint where in the nervous system the problem might be and give the doctor clues about the severity and type of neurological deficit. Blood tests are also a biggie. Doctors will order a battery of tests to look for infections (like viruses or bacteria that can trigger transverse myelitis), markers of inflammation, and antibodies associated with autoimmune diseases. Sometimes, a lumbar puncture, or spinal tap, is performed. This involves taking a small sample of cerebrospinal fluid (CSF) from your lower back. Analyzing the CSF can reveal increased white blood cells or protein, indicating inflammation, and can help identify certain infectious or inflammatory causes. It can also help rule out conditions like meningitis or encephalitis. So, while the transverse myelitis MRI provides that crucial visual evidence of spinal cord inflammation, integrating these findings with the clinical picture – the symptoms, neurological exam, and other lab results – is what leads to a definitive diagnosis. It’s like putting together a complex jigsaw puzzle where each piece is vital for seeing the whole picture. Remember, early and accurate diagnosis is key for starting the right treatment and improving outcomes.

Differentiating Transverse Myelitis from Other Conditions

One of the biggest challenges in diagnosing transverse myelitis is that its symptoms can be pretty similar to a whole bunch of other neurological disorders. This is where the transverse myelitis MRI really shines, but doctors still need to be super careful. Multiple sclerosis (MS) is a big one. MS is also a demyelinating disease, meaning it affects the myelin sheath, but it typically causes multiple lesions in the brain and spinal cord over time, and these lesions often have a different appearance and distribution on MRI compared to the single, focal lesion seen in transverse myelitis. Neuromyelitis optica spectrum disorder (NMOSD) is another condition that can cause spinal cord inflammation, but it often affects the optic nerves and spinal cord lesions can be longer and located in specific parts of the spinal cord. Spinal cord compression, caused by things like a herniated disc, tumor, or trauma, can present with similar symptoms, but an MRI will clearly show the physical compression on the spinal cord, which isn’t usually the primary issue in transverse myelitis. Infections within the spinal cord (myelitis) can also cause inflammation, and the MRI, along with spinal fluid analysis, can help identify the specific pathogen. Vascular issues, like a spinal cord stroke, can also lead to rapid onset of neurological deficits. An MRI is essential for identifying these, often showing characteristic patterns of restricted diffusion. So, the transverse myelitis MRI isn’t just about confirming inflammation; it’s a critical tool for ruling out mimics and ensuring the correct diagnosis is made, which directly impacts the treatment plan.

Treatment and Prognosis: What Comes After the MRI?

Okay, so you’ve had your transverse myelitis MRI , and the diagnosis is confirmed. What happens next? The good news is that while transverse myelitis can be scary, there are treatments available, and many people recover significantly. The primary goals of treatment are to reduce inflammation, manage symptoms, and help the body heal. Often, the first line of treatment involves corticosteroids . These powerful anti-inflammatory drugs, like methylprednisolone, are given intravenously to quickly reduce the swelling in the spinal cord. Sometimes, a procedure called plasma exchange (PLEX) is done, especially if steroids aren’t working well. This involves removing your blood, separating out the plasma (the liquid part containing antibodies and inflammatory substances), and then returning your red blood cells mixed with a substitute fluid. It’s a way to